作者:孙千 本文转载自公众号:老千和他的朋友们。原文地址:https://mp.weixin.qq.com/s/k-t-mxqe7Hf3C3Ty1o126w
细胞核就像细胞的总指挥部,是细胞里个头最大的核心器官—— 里面装着细胞的大部分遗传密码本(基因组),还有一堆帮基因干活的分子工具。以前大家都觉得,基因在细胞核里写指令(转录)和在细胞质里执行指令(翻译)是完全分开的,现在研究发现这说法不对。靠着先进技术,我们能看清细胞核的 3D 结构和它的动态变化 —— 这些结构看着样子挺稳定,其实一直在悄悄忙活。
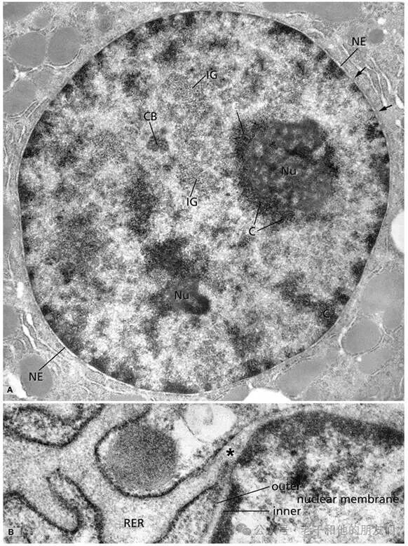
一、细胞核的保护罩和进出口:核膜与核孔
细胞核外面裹着一层双层保护罩,名叫核膜(NE),把细胞核和细胞质稳稳隔开。但这层膜不是完全密封的,上面布满了很多小通道,叫核孔(NPC),就像总指挥部的进出口,专门负责细胞核和细胞质之间交换物质(比如图 A 里的箭头指的就是核孔)。
核膜的两层(外层叫核外膜,内层叫核内膜)中间有个小缝隙,叫核周间隙。更有意思的是,在某些地方,核外膜还会和细胞里的蛋白质加工厂—— 粗面内质网(RER)的膜连在一起,这样核周间隙就和粗面内质网的内部空间通起来了(图 B 里的星号就是标记这个连接点)。

放大倍数:图 A ×24,000;图 B ×106,000
|
英文缩写 |
英文全称 |
中文翻译 |
|
NE |
Nuclear Envelope |
核被膜(核膜) |
|
NPC |
Nuclear Pore Complex |
核孔复合体(核孔) |
|
RER |
Rough Endoplasmic Reticulum |
粗面内质网 |
|
C |
Heterochromatin |
异染色质 |
|
Nu |
Nucleolus |
核仁 |
|
IG |
Interchromatin Granules |
染色质间颗粒簇 |
|
CB |
Cajal Body |
卡哈尔体(曾称卷曲小体) |
二、细胞核内部:两大功能区
细胞核里面能分成两大块:染色体结构域和染色质间空间,就像总指挥部里的档案区和工作区。
我们知道,细胞要分裂(有丝分裂)时,遗传物质 DNA 会浓缩成看得见的染色体。等细胞不分裂的时候(间期),这些浓缩的 DNA 就形成了染色体结构域—— 相当于 DNA 的档案收纳区。有些基因会老老实实在这个收纳区里,有些则会跑出来,附着在收纳区外面解开的染色质纤维上。
在电镜下,我们能清楚看到一种颜色很深的浓缩染色质,叫异染色质(C),它主要待在细胞核的边缘,因为它会粘在细胞核内壁的支架(专业叫核纤层)上;而那些解开的、不浓缩的染色质(叫常染色质)因为染色浅,就不太好分辨。
在这些染色质之间,还有一片空隙,就是染色质间空间 —— 这里藏着很多和基因表达相关的小工作站,专门帮基因完成写指令、处理指令的活儿。
三、核里的专用工作站:那些特殊小结构
1. 最显眼的机器加工厂:核仁(Nu)
核仁是细胞核里最容易看到的结构,它的核心工作是制造核糖体 —— 核糖体可是细胞里合成蛋白质的小机器,所以核仁就相当于核糖体加工厂,专门生产蛋白质合成所需的核心工具。
2. RNA 的修剪小作坊:染色质间颗粒簇(IG)
这些小颗粒簇是一群专业帮手的聚集地,里面有很多RNA和蛋白质,专门负责处理 mRNA(基因指令的 “副本”)—— 比如给 mRNA 剪掉多余的部分(剪接),让指令更准确。它们就像 RNA 修剪小作坊,既能储存这些修剪工具,也能组装新的工具,里面还有帮基因写指令的指挥因子,以及一些支撑结构的骨架蛋白(比如核纤层蛋白)。
而且,这些小作坊里的蛋白质不是一直固定在这,会和细胞核里的液体(叫核质)不断交换,保持活跃状态。
3. 历史悠久的工具仓库:卡哈尔体(CB)
这个结构是一个世纪前由科学家拉蒙・伊・卡哈尔发现的,所以用他的名字命名,以前也叫卷曲小体。它就像一个临时工具仓库,专门存放基因写指令(转录)和 RNA 加工指令(处理副本)所需的工具零件,等细胞需要的时候,就把这些零件拿出来用。
细胞核形状与大小的变化
细胞就像一个小小的生命工厂,而细胞核是这个工厂里掌管遗传信息的核心办公室。咱们平时说的细胞核,大多是细胞不分裂、正常工作的时候也就是间期的状态,它的形状和大小可不是固定的,会跟着细胞的种类、活跃程度变来变去。
一、细胞核形状与大小的决定因素
细胞核能保持稳定形状、正常发挥作用,全靠核纤层蛋白和微管这两个关键帮手。核纤层蛋白相当于细胞核的骨架支架,裹在细胞核外层,撑着它的基本形态,不让它随便变形;微管则像细胞核的活动调节器,能帮着调整核的形状,还能辅助核完成各种工作。
细胞核的大小主要看两方面,最主要的是核质比,就是细胞核的体积和它周围细胞质的体积比例,细胞质多,核往往也会跟着调整大小,保持平衡;还有一种说法是基因组大小,也就是细胞里 DNA 的总量,DNA 越多,细胞核可能也会越大,就像装东西的盒子要跟着东西多少调整大小。
二、不同细胞的细胞核:形态各有不同
就像不同职业的人穿不同衣服,不同功能的细胞,细胞核的长相也各不相同。肝细胞是肝脏里干活的细胞,长得又大又圆,细胞核也跟着大气,是大而圆的样子;肠吸收细胞是肠道里帮着吸收营养的细胞,身体是圆柱形的,细胞核也跟着拉长,变成椭圆形;杯状细胞、内皮细胞和白色脂肪细胞的细胞核都特别扁,像被轻轻压过的薄饼;还有中性粒细胞和嗜碱性粒细胞,它们的细胞本身是圆形的,但细胞核却分成了好几瓣,这叫分叶核,像一朵小花;更神奇的是,中性粒细胞和淋巴细胞穿过血管壁去干活的时候,细胞核还能变形,挤过狭窄的血管后,又能恢复原来的样子,特别灵活。
三、病理状态下的细胞核异常
如果细胞核的形状、大小变得不正常,往往是细胞出问题的信号,常见两种情况。第一种是核纤层蛋白出问题,这个骨架支架发生突变也就是结构出错,细胞核就会失去支撑,形状变得奇怪,这种情况会引发一类叫核纤层蛋白病的疾病。
第二种是癌症的特征信号,癌症细胞的细胞核会出现很明显的异常,形状、大小变得乱七八糟,比如特别大、分瓣更多,内部结构也乱了,核质、核基质都不正常,这些变化是医生诊断癌症的重要依据,很多癌症细胞都有这特点,有些甚至是某种癌症特有的标志。
四、电子显微镜下的癌细胞核特征
用电子显微镜放大后,放大1000倍甚至更多,能清楚看到恶性癌细胞的细胞核。其中一幅放大 1000 倍的图像中(对应图A),肿瘤细胞的核特别大,直径能超过 20 微米,比正常细胞核大不少,形状是分叶状,里面含有增大的核仁,核仁内还能看到特殊的核仁网,而且因为核体积太大,核质比也失去了平衡,核凹陷和折叠在多种癌症中都能见到,但这种分叶现象相对少见。

放大倍数:图 A ×1,000;图 B ×800
另一幅放大 800 倍的图像(对应图 B)展示的是同一恶性肿瘤中的另一个细胞,呈双核状态,也就是一个细胞里有两个核,它的核同样很大,直径超过 30 微米,也是分叶状,里面含有多个增大的核仁,核仁内同样能看到核仁网。和癌细胞核的常见特征一样,这里的浓缩染色质也就是异染色质分布得乱七八糟,还会有一堆堆密集的异染色质聚集体。
简单说,癌细胞核的这些异常,本质是细胞里的基因表达乱了套,就像工厂的指令系统出错,连核心办公室的形态和结构都跟着乱了。
参考资料Architecture of the Cell Nucleus | Variation of Nuclear Shape and Size