作者:孙千 本文转载自公众号:老千和他的朋友们。原文地址:https://mp.weixin.qq.com/s/w7FKzM302aBz2qDTVdUkYA
场发射扫描电镜(FE-SEM)能实现≤1 nm的高分辨率成像,是观察生物组织精细结构的重要工具。但生物组织本身导电性差,在FE-SEM观测中容易产生成像假象,因此需要在样品表面镀一层薄的导电膜层,这一步也是FE-SEM样品前处理的关键。
铂(Pt)是传统扫描电镜(SEM)和冷冻断裂实验中常用的膜层材料,近些年铬(Cr)因为膜层颗粒极细、分布均匀,成为了FE-SEM样品膜层的热门选择,而金钯合金(Au/Pd)膜层的实际性能还没有被系统验证过。
为了弄清楚Au/Pd膜层能否替代Pt和Cr,用于生物组织的FE-SEM观测,荷兰格罗宁根大学细胞生物学与电镜实验室I. STOKROOS等人,以1.5~3.0 nm厚的Au/Pd、Pt、Cr为研究对象,用不同厂商的平面磁控溅射镀膜仪制备膜层,再通过FE-SEM和TEM观察膜层的颗粒尺寸、形状、密度和分布,系统对比了三种膜层的性能差异及影响因素,相关研究结果发表在1998年《Journal of Microscopy》上。

一、实验材料与方法
(一)实验基底与膜层材料
实验选择高真空蒸发沉积在新鲜解理云母片上的碳膜作为膜层基底,再将碳膜固定在3 mm的TEM铜网上。之所以选这个基底,是因为生物样品成分复杂、表面不平整,会干扰金属膜层的沉积,而碳膜基底成分单一、表面平整,能排除这些干扰,让实验只聚焦膜层本身的性能。
膜层材料选用Au/Pd、Pt、Cr三种纯金属,同时加入Pt/C复合膜层做参考;膜层厚度控制在1.5~3.0 nm,这一厚度区别于≤1.0 nm的超薄膜层,不需要极端严苛的制备条件,更适合生物样品的常规观测。
(二)观测与制备仪器
1. 观测仪器:用冷场发射扫描电镜(工作电压5 kV/15 kV、工作距离6 mm、束流10⁻¹¹ A)和透射电镜(钨灯丝、工作电压100/120 kV,调至高分辨率模式),精准观察膜层的微观结构。
2. 制备仪器:使用多套膜层制备设备,包括Balzers BAE 120高真空蒸发仪、Ion Tech B370离子束溅射仪,以及Denton、Cressington 208 HR、Fisons、Xenosput XE200四款平面磁控溅射仪,所有设备均按照厂商设定的标准参数操作,参数差异主要体现在源–基底距离、溅射电流、电压和氩气压力上。
(三)膜层厚度测量与稳定性验证
膜层厚度通过仪器配套表格测算,参考指标为靶–基底距离、电流和溅射时间。研究人员将该方法的测量结果与薄膜监测仪的结果对比,发现相对误差为20~22%,这一误差范围能满足膜层之间的对比研究要求。
为了验证膜层是否稳定,研究人员分别在膜层沉积后立即观测,以及沉积1周后再次观测,结果发现膜层结构没有发生任何变化,说明膜层在短期内稳定性良好。
二、实验结果
研究先以离子束溅射制备的Au/Pd膜层为对照,再分析不同平面磁控溅射设备制备的Au/Pd、Pt、Cr膜层特征,最后验证三种膜层在颗粒和低温生物样品表面的沉积效果,各实验组的膜层结构都能通过电镜图像直观看到,核心数据汇总在表1中。

* 颗粒覆盖面积与测量总面积的比值;†,膜层颗粒(核)的平均面积;‡标注“高”表示该涂层的颗粒尺寸差异较大;FE-SEM/TEM 下的视觉光滑程度。
(一)离子束溅射Au/Pd膜层的结构特征
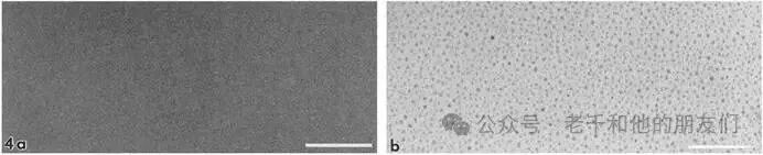
用Ion Tech B370离子束溅射仪制备3.0 nm厚的Au/Pd膜层,其颗粒尺寸比同厚度的纯Au膜层小。在FE-SEM下能看到膜层颗粒的细微结构,TEM下则能看到颗粒堆积得比较紧密,形状不均匀,大颗粒之间还分布着细小颗粒,膜层整体接近连续状态(图1)。这一膜层为后续磁控溅射Au/Pd膜层的性能对比提供了基础参考。

图 1离子束溅射(Ion Tech B370 型设备)制备的3.0 nm 金钯(Au/Pd)涂层,沉积于常温碳膜基底;场发射扫描电镜(a)与透射电镜(b)成像。可见尺寸较小的金钯颗粒核,形成近乎连续的涂层。标尺=50 nm(见图4)。
(二)平面磁控溅射Au/Pd膜层的结构特征
用三款不同的磁控溅射仪制备1.5 nm厚的Au/Pd膜层,其颗粒尺寸都比离子束溅射的3.0 nm Au/Pd膜层小,且不同设备制备的膜层,颗粒形态和分布各有特点:
Cressington 208 HR制备的膜层,FE-SEM下看不到颗粒的细微结构,TEM下颗粒接近球形、大小不均,图像背景呈灰色,说明背景中还有更细小的颗粒,整体颗粒分布均匀且紧密团聚(图2);

图 2平面磁控溅射(Cressington 208 HR 型设备)制备的 1.5 nm 金钯涂层,沉积于常温碳膜基底;15 kV 场发射扫描电镜(a)与 100 kV 透射电镜(b)成像。可见扫描电镜下的成像对比度相较于金涂层略低;多数球形颗粒核团聚形成紧密排列的聚集体。标尺=50 nm(见图4)。
Denton设备(牛津CT 1500HF冷冻转移系统配套)在-120℃下制备的膜层,FE-SEM下无明显颗粒细微结构,TEM下颗粒呈异质弯曲状、堆积得非常紧密,颗粒之间的间隙极小,形成了连续的膜层(图3);

图 3平面磁控溅射(登顿–牛津 CT 1500HF 冷冻转移系统)制备的 1.5 nm 金钯涂层,沉积于 – 120℃碳膜基底;15 kV 场发射扫描电镜(a)与 100 kV 透射电镜(b)成像。可见尺寸极小的金钯颗粒核形成连续的涂层。标尺=50 nm(见图4)。
Xenosput XE200制备的膜层,FE-SEM下看起来没有明显结构,TEM下颗粒呈星状、尺寸均匀,颗粒间间隙较大,但背景由致密堆积的细小颗粒填充,膜层整体还能看到六边形的颗粒排列规律(图4)。

图 4平面磁控溅射(Xenosput XE200 型设备)制备的1.5 nm 金钯涂层,沉积于常温碳膜基底;15 kV 场发射扫描电镜(a)与透射电镜(b)成像。可见形态不规则的颗粒核排列密度适中且相互靠近。标尺 = 50 nm。
(三)平面磁控溅射Pt膜层的结构特征
用Fisons、VG Microtech SC 7640、Denton、Cressington 208 HR四款设备制备1.0~2.0 nm厚的Pt膜层,发现其结构受基底温度和溅射电压影响特别显著,也是三种纯金属膜层中,颗粒形态差异最大的一种:
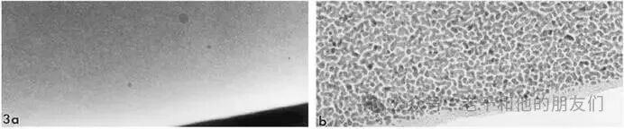
Fisons设备在-120℃下制备的2.0 nm Pt膜层,FE-SEM下能看到细微结构,颗粒团聚体的尺寸比离子束溅射的Au/Pd膜层大;TEM下颗粒呈角形、尺寸均匀,团聚体之间有较大间隙(图5)。而在常温下用该设备制备的同厚度Pt膜层,颗粒尺寸更大、团聚更明显,还出现了柱状结构,膜层的连续性变差(图6);

图 6平面磁控溅射(菲森斯 – 500 型设备)制备的 2.0 nm 铂涂层,沉积于常温碳膜基底;15 kV 场发射扫描电镜(a)与 100 kV 透射电镜(b)成像。颗粒聚集体尺寸更大;透射电镜下可见涂层堆积密度显著降低。标尺(见图 10)=50 nm。
VG Microtech SC 7640设备在1.2 kV电压下制备的2.0 nm Pt膜层,FE-SEM下能看到球状结构,TEM下颗粒接近球形或长条形,堆积紧密(图7);在800 V电压下制备的1.0 nm Pt膜层,FE-SEM下几乎看不到细微结构,TEM下颗粒呈角形、尺寸更小,背景发灰,说明存在细小颗粒(图8)。目前还无法确定,是膜层更薄还是溅射电压更低,导致了颗粒尺寸变小;

图 7平面磁控溅射(VG Microtec SC 7640 Polaron 型设备)制备的 2.0 nm 铂涂层,1.2 kV 下沉积于常温碳膜基底。场发射扫描电镜(a)中可见尺寸较大的铂结构;透射电镜下可见颗粒(或聚集体)尺寸偏小、形态均一且排列紧密。标尺(见图 10)=50 nm。
图 8平面磁控溅射(VG Microtec SC 7640 Polaron 型设备)制备的 1.0 nm 铂涂层,制备条件同图 7,800 V 下沉积于常温碳膜基底。15 kV 场发射扫描电镜成像近乎无明显结构;100 kV 透射电镜下可见尺寸极小、形态高度均一的铂颗粒核。标尺(见图 10)=50 nm。
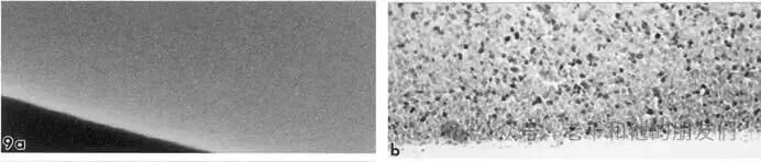
Denton设备在常温下制备的2.0 nm Pt膜层,FE-SEM下看不到精细结构,TEM下颗粒有球形也有长条形,堆积紧密,对基底的填充效果较好(图9);

图 9平面磁控溅射(登顿 – 牛津 CT 1500HF 冷冻转移系统)制备的 2.0 nm 铂涂层,沉积于常温碳膜基底。15 kV 场发射扫描电镜下几乎无精细结构可见;透射电镜下可见铂颗粒核紧密堆积,部分颗粒存在高度差异(对比图 8)。标尺(见图 10)=50 nm。
Cressington 208 HR设备在常温下制备的1.5 nm Pt膜层,FE-SEM下完全看不到细微结构,TEM下颗粒呈微角形且边缘圆润,是所有Pt膜层中颗粒尺寸最小的,背景发灰说明存在无法被该TEM分辨的超小颗粒(图10)。

图 10平面磁控溅射(Cressington 208 HR 型设备)制备的 1.5 nm 铂涂层,沉积于常温碳膜基底。15 kV 场发射扫描电镜下几乎无精细结构可见;透射电镜下可见铂颗粒核紧密堆积,部分颗粒存在高度差异(对比图 8)。标尺 = 50 nm。
(四)平面磁控溅射Cr膜层的结构特征
用Cressington 208 HR和Xenosput XE200两款设备制备1.5 nm厚的Cr膜层,这是三种纯金属膜层中颗粒尺寸最小的,且两款设备制备的Cr膜层都形成了连续、平整的无定形层。
Cressington 208 HR制备的Cr膜层,FE-SEM下无细微结构,外观和Denton设备制备的Au/Pd膜层相近;TEM下颗粒尺寸均匀、堆积紧密,因为Cr的原子序数低,成像的对比度明显低于Au/Pd和Pt膜层(图11);

图 11平面磁控溅射(Cressington 208 型设备)制备的 1.5 nm 铬(Cr)涂层,沉积于碳膜基底;15 kV 场发射扫描电镜(a)与 100 kV 透射电镜(b)成像。可见尺寸极小的铬颗粒核形成连续平整的涂层。标尺(见图 12)=50 nm。
Xenosput XE200制备的Cr膜层,FE-SEM和TEM下都呈平整的无结构状态,近距离观察能看到精细的颗粒分组特征,后续验证发现,这一特征是由碳膜基底本身的细微结构导致的,并非膜层自身的特性(图12)。

图 12平面磁控溅射(爱德华 XE200 Xenosput 型设备)制备的 1.5 nm 铬涂层,沉积于碳膜基底;15 kV 场发射扫描电镜(a)与 100 kV 透射电镜(b)成像。涂层为超光滑的连续平整层。标尺 = 50 nm。
(五)乳胶与低温生物表面的膜层沉积效果
为了验证膜层在实际样品表面的使用效果,研究人员将Pt/C、Cr、Au/Pd膜层分别沉积在乳胶颗粒和酵母冷冻断裂面上,结果如下:
用Balzers BAE 120设备制备的2.0 nm Pt/C复合膜层,沉积在乳胶颗粒表面后,其Pt颗粒尺寸比所有纯Pt膜层都小,也是本次研究中颗粒尺寸最小的膜层(图13);

图 13高真空蒸发(巴尔泽斯 BAE 120 型设备)制备的 2.0 nm 铂涂层,采用阴影镀膜法沉积于碳膜基底的乳胶颗粒表面;15 kV 场发射扫描电镜(a)与 100 kV 透射电镜(b)成像。标尺:(a)=100 nm,(b)=50 nm。
用Xenosput XE200设备制备的1.5 nm Cr膜层,沉积在乳胶颗粒表面后,形成了光滑、连续的膜层,FE-SEM下看不到明显的细微结构。
用Denton设备在-120℃下制备的1.5 nm Au/Pd膜层,沉积在液氮速冻的酵母冷冻断裂面上后,FE-SEM下能清晰看到酵母的膜内褶和膜颗粒结构,没有出现制备过程或电子束辐照导致的成像假象(图15),这说明Au/Pd膜层非常适合低温生物样品的FE-SEM观测。

图 14平面磁控溅射(爱德华 XE200 Xenosput 型设备)制备的 1.5 nm 铬涂层,沉积于碳膜基底的乳胶颗粒表面;15 kV 场发射扫描电镜成像。可见涂层表面十分光滑,无明显的亚结构。标尺 = 100 nm。
图 15平面磁控溅射(登顿 – 牛津 CT 1500HF 冷冻转移系统)制备的 1.5 nm 金钯涂层,-120℃下沉积于酵母细胞断裂面,成像可见膜颗粒结构。标尺 = 100 nm。
三、实验讨论
本次研究的核心目的,是验证Au/Pd膜层能否用于放大倍数≤200000×(底片倍数)的生物组织FE-SEM观测。通过与Pt、Cr膜层的系统对比,研究人员明确了三种膜层的优劣势、影响膜层结构的关键因素,以及不同膜层的适用场景。
(一)Au/Pd、Pt、Cr三种膜层的性能对比
这里先解释一个关键指标:二次电子产率,即膜层在电子束照射下能产生的二次电子数量,数量越高,FE-SEM的成像对比度越好,样品结构看得越清晰。
1. Cr膜层:最大优势是颗粒尺寸极小、膜层连续性好,适合超高分辨率的膜结构研究和X射线微分析,因为它不会干扰生物样品中磷、钙等元素的检测信号。但缺点也很突出:二次电子产率远低于Au/Pd和Pt,成像对比度差;膜层表面容易快速氧化,需要一直放在真空环境中储存;制备时对Cr靶纯度、真空度和氩气纯度要求极高,操作难度大。
2. Pt膜层:是传统高分辨率电镜观测的常用材料,但颗粒特别容易团聚,且团聚程度受温度和电压影响大:低温能抑制团聚,让颗粒更小、膜层更致密,常温下则容易形成柱状结构,降低膜层连续性;溅射电压越低,颗粒尺寸越小,膜层结构越均匀。另外,Pt/C复合膜层能进一步减小颗粒尺寸,但制备工艺更复杂。
3. Au/Pd膜层:是本次研究中综合性能最好的膜层。核心优势是二次电子产率远高于Pt和Cr,在FE-SEM下,同厚度的Au/Pd和Pt膜层,成像对比度、颗粒尺寸几乎没有差异;且Au/Pd的颗粒核很小,不会向横向或纵向明显生长,不会遮盖生物样品的表面精细结构。同时,Au/Pd膜层不会氧化,对制备设备的要求比Cr膜层低,低温下还能形成连续膜层,适配生物样品的冷冻制备工艺。
(二)影响膜层结构的关键因素
1.溅射设备构造:这是决定同种金属、同厚度膜层性能的核心因素。设备的源–基底距离、真空腔设计、靶材形状等,会直接影响金属颗粒的沉积方式和分布,哪怕是1.5 nm的Au/Pd膜层,用不同磁控溅射仪制备,颗粒形态、堆积密度也会相差很大。
2. 基底温度:低温(-120℃)能减缓金属核的生长和颗粒团聚,让膜层更致密,这一结论和之前的相关研究一致。而且低温实验中,真空环境不会被打破,进一步减少了颗粒团聚的可能。
3. 溅射工艺参数:溅射电压主要影响Pt膜层的颗粒尺寸,氩气纯度和真空度则是Cr膜层制备的关键;膜层厚度增加时,金属颗粒会同时向横向和纵向生长,颗粒尺寸变大。
4. 基底效应:碳膜基底自身的细微结构,会在FE-SEM和TEM成像中形成微弱的图案,这个图案不是膜层本身的特征,不会影响对膜层性能的判断。
(三)不同膜层的实际应用场景
结合三种膜层的性能特点,能清晰划分它们的适用场景:
1. Cr膜层:适合超高分辨率STEM/FE-SEM的膜结构研究,以及生物样品的X射线微区分析;
2. Pt膜层:适合传统常温非生物样品的SEM观测,Pt/C复合膜层则可用于对颗粒尺寸要求极高的超高分辨率研究;
3. Au/Pd膜层:适合生物组织,尤其是低温冷冻断裂样品的常规FE-SEM观测(≤200000×),是生物样品观测中Pt和Cr膜层的优质替代。
此外,研究还发现,磁控溅射设备比离子束溅射设备更适合制备生物样品膜层:磁控溅射能减少膜层颗粒与惰性气体分子的碰撞,降低阴影效应,即使不旋转样品,也能制备出均匀的膜层,更适合生物样品的批量前处理。
四、实验结论
本次研究通过系统对比平面磁控溅射制备的1.5~3.0 nm厚Au/Pd、Pt、Cr膜层的结构和性能,结合离子束溅射膜层的对照,以及实际样品的沉积验证,得出了三个核心结论:
1. 同种厚度的不同金属膜层,颗粒的尺寸、形状、密度和团聚性存在天然差异;低温(-120℃)能有效减缓金属核的生长和颗粒团聚,让膜层结构更致密、连续性更好,是制备生物样品低温膜层的最佳温度条件。
2. 即便是同种金属、同厚度的膜层,因为溅射设备的构造和工艺参数(源–基底距离、真空度、氩气纯度、溅射电压、基底温度)不同,颗粒特征和膜层性能也会有显著差异。因此在制备膜层时,需要根据研究需求选择合适的溅射设备和工艺参数。
3. 用合适的平面磁控溅射设备制备的Au/Pd膜层,二次电子产率高、成像效果好、颗粒无明显生长,且制备和储存要求低,在低温生物样品表面沉积后还不会产生成像假象,是生物组织FE-SEM观测中,Pt和Cr膜层的优质替代材料,也为生物样品的FE-SEM样品前处理提供了更优的选择。
研究不仅明确了Au/Pd、Pt、Cr三种膜层的性能差异和适用场景,也为FE-SEM薄导电膜层的制备提供了实验参考。后续研究可通过精细化调控溅射工艺参数,进一步优化Au/Pd膜层的结构,提升其在更高放大倍数下的应用性能。
参考资料 A comparative study of thin coatings of Au/Pd, Pt and Crproduced by magnetron sputtering for FE-SEM