作者:孙千 本文转载自公众号:老千和他的朋友们。原文地址:https://mp.weixin.qq.com/s/6XRJFWi0GrophTAv6b740w
透射电镜(TEM)和扫描透射电镜(STEM)是材料表征的核心技术,能看清从原子到微米尺度的微观结构与成分细节——而这些细节,正是决定材料性能和功能的关键。
在TEM和STEM的成像中,衬度的形成是看懂图像的核心,振幅衬度则是和相位衬度并列的两大基础成像衬度之一。它由电子波穿过样品时的振幅变化产生,主要分为质量厚度衬度和衍射衬度两类,二者的成像原理源于不同的电子散射方式,分别适配非晶材料和晶体材料的表征研究。
自TEM诞生的数十年来,从最初依托明场(BF)、暗场(DF)模式实现质量厚度、衍射两类基础振幅衬度调控,到高角环形暗场(HAADF)Z 衬度成像问世,将原子级振幅衬度变为现实,首次实现重原子的直接分辨。随后球差校正STEM开辟相位衬度新路径,通过环形明场(ABF)成像首次实现碳、氧等轻原子的直接观测。
本文从振幅衬度的基本物理原理说起,讨论TEM 和 STEM中的成像条件、在不同振幅衬度模式下的成像特点,以及振幅衬度在材料科学研究中的实际用处。
衬度与视觉感知阈值
所有TEM和STEM的衬度,核心都是样品相邻区域的电子强度差,振幅衬度也不例外。它能靠公式C=∆I/I 1定量计算,其中是两个区域的电子强度差,∆I(I 2-I1)是参考区域的强度(图1)。

图 1 图像截面的电子强度示意图:(A) 不同区域的电子强度(I1、I2)及二者差值(ΔI),该差值决定衬度大小;(B) 透射电镜中,整体电子强度升高时,图像衬度会随之降低。
这一定量规律和我们的视觉感知直接相关:人眼对衬度的分辨有最低限度,强度变化低于5%的区域差异根本看不出来,就算到10%也很难分辨,这就要求我们做实验时,必须把样品的衬度优化到这个阈值以上。
这里还有个反直觉的关键规律:电子束的整体强度越高,图像衬度反而越低。原因很简单,样品不同区域的散射电子量差异,在强电子束里的相对占比会变小(图1)。所以拍振幅衬度像时,优先控制电子束强度,而非单纯追求图像亮度;而数字成像技术的价值也正在于此——就算拍出来的是低衬度图像,也能通过后期处理增强衬度,把微弱的样品特征还原出来。
如果要精准分析衬度,不能只靠眼睛看,得用胶片或电荷耦合器件(CCD)探测器(数字成像)直接测电子强度。因为人眼只能分辨约16个灰度等级,远不如电子探测系统能捕捉的细节多,单靠视觉观察根本满足不了定量分析的需求。
明场与暗场
振幅衬度的形成,本质就是靠筛选电子:把一部分散射电子排除在成像系统外,或只让特定的散射电子参与成像,这一过程也定义了明场、暗场两种通用的成像模式。TEM和STEM的电子筛选方式不一样,但有个共同的核心依据——衍射花样(DP),它就像样品电子散射行为的直观地图,能清楚看到电子被散射的方向和强度,是设置成像条件的前提。
在TEM里,靠物镜光阑在物镜的背焦面完成电子筛选:光阑套住直射的、没被衍射的电子,拍出来的就是明场像;把光阑套在某一束衍射电子的位置,拍出来的就是暗场像(图2)。如果拿掉物镜光阑,衍射衬度会直接消失,还会因为轴外像差让图像糊到无法聚焦;而光阑的大小也决定了衬度和分辨率的平衡——更小的光阑能挡住更多散射电子,衬度会更好,但成像的分辨率会受影响。

图2 物镜光阑与衍射花样的对应关系(用于形成明场 / 暗场像):(A) 光阑套直射束形成明场像;(B) 光阑套衍射束形成暗场像。圆圈代表物镜光阑的位置。
传统暗场成像会有轴外像差的问题,所以实际实验中常用中心暗场(CDF)成像:把入射电子束稍微倾斜,让衍射束落到光轴上,就能避免像差,拍出更清晰的暗场像。
STEM则和TEM不同,它不靠物理光阑,而是靠探测器筛选电子:同轴的明场探测器专门收集直射电子,环形的暗场(ADF)探测器只捕捉散射电子(图3)。更灵活的是,STEM能通过调整相机长度,动态改变探测器收集电子的角度,这也是它在衬度调控上的独特优势。

图 3 TEM与STEM的电子筛选方式对比:TEM通过物镜光阑选择 (A) 直射电子(明场)、(B) 散射电子(暗场);STEM通过 (C) 同轴探测器(明场)、(D) 离轴环形探测器(暗场)实现等效筛选。
不管是TEM还是STEM,衍射花样的作用都缺一不可:它能看出样品的散射特性——非晶材料的衍射花样是漫散的环,单晶材料则是尖锐的衍射斑,顺着这个规律,才能选对明场或暗场条件,拍出有分析价值的衬度图像。
质量厚度衬度:非晶材料的主流成像衬度
质量厚度衬度是给非晶材料用的,比如聚合物、生物样品、非晶复型,也是这类材料最主要的振幅衬度模式。它的成像原理,是入射电子和原子核之间的非相干弹性散射,也就是卢瑟福散射——电子被散射的概率,和材料的原子序数(Z)、样品的厚度(t)都成正比(图4)。

图 4 明场像中质量厚度衬度的形成原理:样品中更厚/原子序数更高的区域,会将更多电子散射出光轴;该区域投射到成像面的电子更少,因此在明场像中呈现暗区。
这个衬度的规律特别好理解:原子序数越高、样品越厚的地方,会把更多电子散射到光轴外面。拍明场像时,这些地方能透过去的电子少,看起来就暗;拍暗场像时,探测器只收集散射电子,这些地方就会显得亮——明场和暗场的衬度是完全相反的。
不过这种衬度的主导作用,只在低散射角(小于5°)的范围内;在这个角度下,如果样品是晶体,质量厚度衬度会和后面要讲的布拉格衍射衬度相互干扰。而在高散射角(大于5°)下,布拉格散射几乎可以忽略,只剩下和原子序数相关的散射信号,这也是后面Z衬度成像的物理基础。
这里要纠正一个常见误区:有人觉得质量厚度衬度是电子被样品吸收导致的,其实不是。电镜表征用的都是薄样品,电子被吸收的量少到可以忽略,衬度的真正原因,是电子被散射到了光阑或探测器外面,所以最好别用“吸收衬度”这个容易搞错的说法。
调控质量厚度衬度,主要有两个办法:调仪器参数,或做样品预处理。
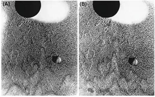
仪器参数方面,缩小物镜光阑的尺寸,或降低电子束的加速电压(kV),都能提升衬度(图5)。更小的光阑会挡住更多散射电子,低加速电压会让电子的散射范围和概率变大,两种方式都会让样品不同区域的电子强度差更明显。但这两种操作的代价是图像整体亮度变低,解决办法是延长曝光时间,直到样品发生漂移、图像模糊,就是曝光时间的极限了。

图5 物镜光阑尺寸对质量厚度衬度的影响:阴影化乳胶颗粒成像,(A) 光阑孔径 70μm、(B) 光阑孔径 10μm;光阑越小,衬度越强,效果与降低加速电压一致。
样品预处理则是人工给样品制造原子序数或厚度的差异,让低原子序数、厚度均匀的样品也能拍出明显衬度。常用的有两种方法:一是重金属染色,用锇、铅、铀这类高原子序数的金属,标记样品的特定结构,比如聚合物里的不饱和碳–碳双键、生物组织的细胞壁,这样在厚度均匀的样品上,就能形成纯的质量衬度(图6);

图6 重金属染色双相聚合物的明场像:重金属原子富集于深色相的不饱和键处,形成纯质量衬度。
二是金属阴影化,把金或金钯合金倾斜蒸镀在样品表面,这样样品会同时形成质量和厚度的梯度,能在二维的电镜图像里,看出乳胶球这类颗粒的三维形貌(图7)。甚至把阴影化的图像反转,还能利用人眼的视觉特点,看出伪三维的效果,简单又好用。

图7(A)无定形碳支撑膜上乳胶颗粒的透射电镜明场像,仅体现厚度衬度;(B) 经重金属阴影化处理的乳胶颗粒,通过质量衬度凸显颗粒真实形貌;(C) 将 (B) 反转后,图像呈现伪三维视觉效果。
质量厚度衬度也能定量分析:样品厚度变化带来的强度变化,能用公式
∆I/I=1-e-Q∆I计算,其中Q是总弹性散射截面;结合人眼5%的衬度分辨阈值,还能算出仪器能检测到的最小厚度差。虽然这个定量方法在日常实验中很少用,但能为设计实验提供理论依据,比如想分辨样品微小的厚度或原子序数差异时,能知道该怎么调参数。
TEM和STEM在拍质量厚度衬度像时,表现完全不同,各有各的拿手场景。
TEM的优势是成像噪声低、分辨率高,因为它用的是平行电子束,不会像STEM那样受束斑尺寸的限制;但缺点是,传统的模拟图像没法实时调整衬度,只能靠前期调参数。
STEM则刚好相反,它的图像噪声更高、分辨率稍低,但能直接做信号处理,比如调整探测器的增益、黑电平,轻松提升衬度(图8),这对拍低衬度样品来说,是个很大的优势。另外,STEM的环形暗场探测器能收集的散射电子,比TEM的物镜光阑多得多,拍出来的暗场像噪声会显著降低(图9),也不会有轴外像差的问题。

图8 含富氯气泡的无定形二氧化硅样品成像对比:(A) TEM明场像(质量衬度低);(B) STEM明场像(信号处理后衬度提升);(C) TEM图像经数字化与衬度增强软件处理,效果与STEM一致。

图9 同一样品的暗场像对比:(A) TEM暗场像;(B) STEM环形暗场像。STEM图像衬度更高、噪声更低,但分辨率略低。
STEM的独特优势,在厚样品和束敏感材料(比如软聚合物)的表征中最明显:厚样品会让TEM因为色差导致分辨率下降,STEM却没有这个问题;而束敏感材料怕被电子束辐照损伤,STEM的扫描束能精准控制辐照区域,实现低剂量成像,避免样品被破坏。
Z 衬度(HAADF):原子尺度的成像突破
Z衬度也叫高角环形暗场(HAADF)成像,是质量厚度衬度的原子尺度升级版——有了这项技术,STEM才从只能看微米尺度形貌的工具,升级为能分析原子尺度细节的平台。
它的成像原理,是利用高角度的电子散射(大于50毫弧度,约3°):在这个角度下,不会有布拉格相干散射,只剩下和原子序数Z的平方成正比的卢瑟福散射。简单说,Z衬度图像里,越亮的地方原子序数越高,直接看图像亮度,就能分辨出样品里的不同元素。
实现Z衬度成像,关键是高角环形暗场探测器,它的形状和收集电子的角度范围,都和STEM常规的明场、环形暗场探测器不一样(图13)。这个设计的核心作用,是彻底消除衍射衬度——这原本是晶体材料中,原子尺度成分成像的最大障碍,消除后,图像亮度就能直接反映原子序数的高低。

图10 STEM Z 衬度成像的高角环形暗场探测器结构示意图:同时标注常规明场、环形暗场探测器及各自的电子散射角收集范围。
早期的Z衬度研究,用的是低角的环形暗场探测器,图像会受衍射干扰,效果不好(图11);高角环形暗场探测器的出现解决了这个问题,不仅能拍出低原子序数衬底上,铂、铀这类单重重金属原子的图像,还能定量分析掺杂元素的浓度,比如硅中的铋,精度能达到20%以上(图12)。

图 11 场发射枪STEM拍摄的 Z 衬度环形暗场像:单晶氧化铝薄膜上的单个铂原子/原子团簇。

图12铋注入硅样品成像:(A) 低倍透射电镜明场像,可见缺陷阵列;(B) Z 衬度像,缺陷不可见,铋注入区域呈高亮。
Z衬度成像的优势,在晶体异质结和界面的表征中体现得最明显,它能看清相位衬度TEM根本识别不出来的、原子尺度的成分变化。比如表面有非晶二氧化硅层的锗/硅外延异质结,相位衬度TEM没法区分硅和锗(图13A),但Z衬度STEM能清晰看出:原子序数更高的锗区域是亮区,低原子序数的二氧化硅层是暗区(图13B),而且两种材料的原子排列都能看得一清二楚。

图13 硅基外延锗(表面覆无定形二氧化硅)成像:(A) TEM高分辨相位衬度像,硅、锗区域无法区分;(B) STEM高分辨 Z 衬度像,清晰显示原子列、硅锗界面及低原子序数氧化层暗区。
如果再对图像做后期降噪,还能把原子结构模型叠在图像上,直接分析晶界、缺陷的原子尺度结构(图13C)。另外,Z衬度成像的稳定性特别好:和相位衬度成像不同,它的衬度几乎不受物镜失焦、样品厚度变化的影响,不用反复调参数,解读图像也更简单。

图13 (C) 锶钛矿晶界原子模型叠加于降噪后的 Z 衬度像
虽然TEM也能尝试通过空心锥照明拍Z衬度像,但这种方法的最大入射角只有几毫弧度,远低于实现纯Z衬度需要的50毫弧度,拍出来的图像还是会受衍射衬度干扰,效果远不如STEM。
所以目前来说,只有配备场发射枪(FEG)、束斑尺寸小于0.3纳米的STEM,才能实现真正的原子分辨率Z衬度成像。更重要的是,把Z衬度成像和电子能量损失谱(EELS)结合,能在样品的同一个位置,同时收集原子尺度的成分和电子结构数据,这是其他表征技术都做不到的。
衍射衬度:晶体材料与缺陷分析
衍射衬度是晶体材料的专属振幅衬度模式,它来自电子的布拉格相干弹性散射,这种散射的强弱,由样品的晶体结构、晶体取向,还有样品里有没有缺陷共同决定。
上世纪50年代,衍射衬度的发现彻底改变了晶体缺陷研究:样品里的缺陷会让晶格发生畸变,进而让衍射面发生旋转,通过偏差参数s改变衍射强度,最终让缺陷区域和完整的晶体区域之间,形成明显的衬度差异,这样就能在电镜里看清缺陷了。
拍有分析价值的衍射衬度像,关键是调好“双束条件”:把样品稍微倾斜,让衍射花样里只有一束强的衍射束(hkl)和一束直射束(000),其他衍射束的强度都弱到可以忽略(图14A)。调好这个条件后,明场和暗场像的衬度会完全相反(图14B、C),不会有多个衍射束的衬度叠在一起干扰观察,看位错、层错、沉淀相这些晶体缺陷,就会特别清楚。

图14 (A) 晶体 [011] 带轴衍射花样(多组晶面同等强度衍射);小图为样品倾斜后的双束衍射花样(仅直射束 000 与一组衍射束 hkl 强激发);(B) 铝锂合金双束条件下的明场像、(C) 暗场像,二者衬度互补;明场中铝锂析出相呈暗区,暗场中仅析出相呈亮区。
对于缺陷成像,还有个核心的调控指标——偏差参数s,它代表衍射面偏离精准布拉格衍射条件的程度。拍缺陷像时,s要调得小一点,且为正值,这时候缺陷的衬度最好,看得最清楚(图15B)。
如果s=0,刚好卡在精准的布拉格衍射条件,缺陷的图像会糊成一团;如果s是较大的正值,缺陷的轮廓会变窄,衬度也会变弱(图15C);而s为负值的话,缺陷的样子会完全失真,拍出来的图像没有分析价值,绝对不能用这个参数。

图 15 偏差参数s对衍射衬度的影响:(A)s=0(精确布拉格条件);(B)s为小正值;(C)s为大正值。
要拍高质量的衍射衬度暗场像,必须用中心暗场成像,关键是精准倾斜入射电子束,让衍射束落到光轴上(图16)。这里有个常见的操作误区:直接把被激发的(hkl)衍射束倾斜到光轴上,这样会让衍射强度降低,还会激发高阶衍射,形成弱束成像条件——这是缺陷分析的专用模式,并不是常规的强束中心暗场成像。

图 16 中心暗场成像的光束倾斜原理:(A) 标准双束条件(000 与 hkl 衍射斑强激发);(B) 入射束倾斜2θ后,hkl 斑强度减弱,高阶衍射斑被激发;(C) 先激发hˉkˉlˉ衍射束,再将弱 hkl 斑倾至光轴,可获得强信号中心暗场像。
正确的操作方法是:先把(hˉkˉlˉ)衍射束激发变强,再倾斜电子束,让原本弱的(hkl)衍射束落到光轴上,这时候这束衍射电子会被强激发,拍出的暗场像才清晰。
另外,衍射花样和图像之间的旋转校准也很关键:要在电镜图像上标注衍射矢量(g),把图像里的衬度特征,和样品里的特定衍射面对应起来,这是定量分析晶体缺陷的前提。
TEM是拍衍射衬度像公认的最佳选择,而STEM则极少用于这项研究,这背后的原因,是两种电镜的电子束特征有本质区别。
TEM用的是平行电子束,电子束的会聚角小到可以忽略,能轻松实现衍射衬度成像需要的理想双束条件,拍出来的衍射衬度像,对比度强、没有多余的干扰。
而STEM用的是会聚电子束,会聚角比较大,根本没法复刻双束条件;如果想提升STEM衍射衬度的对比度,只能缩小探测器的收集角,但这样会让电子信号骤降,图像的噪声显著增加(图17)。就算做了这个调整,STEM拍出来的衍射衬度像,里面的弯曲线这类特征,还是比TEM的图像弱得多,而且噪声会让细微的缺陷特征完全看不清。

图17铝铜合金样品成像:(A) STEM明场像,衍射衬度(弯曲线)微弱;(B) 减小探测器收集角,衍射衬度略有提升但噪声剧增;(C) TEM衍射衬度远优于STEM;所有图像中富铜析出相均保持强质量衬度。
虽然有倒易原理说,只要让TEM的会聚角和STEM的收集角匹配、TEM的收集角和STEM的会聚角匹配,就能拍出等效衬度的图像,但这也没法突破本质限制——STEM的会聚电子束和TEM的平行电子束,本身就不兼容。所以直到现在,在衍射衬度成像领域,TEM仍是唯一可行的平台,它在晶体缺陷分析中的地位,暂时没有技术能替代。
TEM 与 STEM:互补优势
TEM和STEM在振幅衬度成像上各有优势,这是因为它们的电子光学设计完全不同,而现在的材料研究,通常会把二者结合起来,形成一套完整的表征流程,这样能把材料的微观细节看得更全面。

图 18 TEM (A) 与STEM (B) 的电子束会聚角、发散角对比(图中为全角,非常规半角)
TEM的优势在平行电子束:成像噪声低、分辨率高,还能实现理想的双束条件,所以不管是高分辨率的质量厚度衬度成像,还是各类衍射衬度成像,TEM的表现都更出色。
STEM则是针对性优势突出:它是原子分辨率Z衬度成像、厚样品表征、束敏感材料分析的首选平台,靠探测器筛选电子的方式,加上能动态调整的收集角,让它在衬度调控上更灵活。
不过这种功能划分也不是绝对的,数字成像和后期处理技术的发展,正在慢慢模糊二者的界限:现在TEM的图像,也能像STEM那样做后期衬度增强;而配备场发射枪的STEM,分辨率已经达到顶尖水平的TEM了。
振幅衬度成像的发展
振幅衬度成像已经和电子光学设计、探测器技术、数据科学的进步紧密相关。
球差校正器的应用,已经把TEM和STEM的分辨率提升到了亚埃级别(1埃=0.1纳米),现在连碳、氮、氧这类轻原子,都能通过Z衬度成像看清楚了。原位电镜技术则是另一个方向:把振幅衬度成像和温度、应力、电场的调控结合起来,能实时观察样品里的缺陷演化、相变过程,还有材料的动态行为,而且是原子尺度的实时观察。
同时,Z衬度成像已经和其他技术融合,比如电子能量损失谱、X射线能谱(XEDS),实现原子尺度的多模态表征——在样品的同一个原子柱上,能同时收集成分、结构、电子结构的所有数据,一次实验就能获得全方位的信息。
数据和算法科学也在为振幅衬度成像赋能,比如用机器学习做图像降噪和衬度增强,能充分发挥低剂量、低衬度成像的潜力,就算是极容易被电子束损伤的束敏感材料,也能实现原子尺度的表征。
此外,目前流行的四维扫描透射电镜(4DSTEM)不再局限于单一振幅或相位衬度,而是把 2D 扫描位置(x,y)+2D 衍射信息(kₓ,kᵧ)合成四维数据,后期可任意合成明场、Z 衬度、衍射衬度,还能算取向、应变、重构轻原子结构,真正做到一次采集,全信息解析。
参考资料 Amplitude Contrast